

Tel tedavisi, en çok bilinen ortodontik tedavi yöntemidir. Her yaşta yapılabilir. Braketler dişlerin üzerine yapıştırılır, teller ise braketlerden geçirilerek dişlere kuvvet uygular. Ayrıca yaylar ve elastikler gibi yardımcı kuvvet uygulayıcılar kullanılır. Böylece dişler kademeli olarak hareket ettirilerek düzgün sıralanmaları sağlanır. Diş çekimi yapılarak ya da diş çekimi yapılmadan uygulanabilir. Tedavi süresi birkaç ay ya da birkaç yıl sürebilir ve her ay ayarlamalar yapılarak dişlerdeki düzelmenin istenilen şekilde olması sağlanır. Metal, seramik yada kapaklı braketler vaka ve hasta tercihine göre kullanılabilir.

Şeffaf plaklar, braket takılarak yapılan sabit tedaviye alternatif olarak dişleri aynı hizaya sokmak amacıyla uygulanan bir tedavi şeklidir. Teknolojinin gelişmesiyle birlikte şeffaf plak teknolojisi de hızla gelişmektedir. Önceleri sadece basit çapraşıklık vakalarının tedavi edilebildiği telsiz tedavi yöntemiyle artık bir çok ortodontik anomali tedavi edilebilmektedir.Ancak bunu her marka plaklar sağlayamamaktadır. Bu tedavi yönteminde metal teller ve braketler kullanılmaz. Hastalar kendilerine verilen plakları yeme içme ve diş fırçalama durumunda kolayca çıkarıp takabilir. Şeffaf plak tedavisi; sabit tedavi yöntemleri içerisinde dişlerde en estetik ve en konforlu sudur. Telsiz ortodontik tedavi olarak da bilinir.


Lingual ortodonti, diş çapraşıklığının düzeltilmesinde kullanılan ve halk arasında görünmez diş teli olarak bilinen tedavi yöntemidir. Dişlerin ön yüzeyi yerine arka yüzeyine yerleştirilen diş telleri ile yapılan lingual tedavi, özellikle estetik görünüm kaygısıyla braket taktırmak istemeyen hastalarda tercih edilmektedir. Kişiye özel olarak laboratuvar ortamında tasarlanan lingual diş braketler, diş üzerinde braketlerin ve ark tellerinin olmaması nedeniyle daha estetik bir ortodonti tedavisi sunmaktadır.

Fonksiyonel apareyler, alt çene gelişim yetersizliğinde, alt çenenin konumunu değiştirerek gelişimini sağlama prensibiyle çalışır. Sabit fonksiyonel apareyler direk bant-braket ve ark teli üzerine uygulanan bir yöntem olup, büyüme gelişim dönemindeki hastalarda uygulanabilmektedir.

Büyüme ve gelişim döneminde alt çene yetersizliklerinde fonksiyonel ortopedik tedaviler sıklıkla uygulanmaktadır. En sık olarak monoblok ve twin-blok apareyleri kullanılmaktadır. Hasta tarafından çıkarıp takılabilen bu apareyler, uygun yaşta uygulandığında cerrahi müdahaleye gerek duyulmadan çene geriliğinin tedavisinde oldukça başarılı uygulamalardır. Tedavi için en uygun yaş ergenlik başlangıcıdır. Ayrıca eklem bozukluklarının tedavisinde de kullanılırlar.

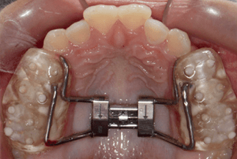
Üst yada alt çene darlıklarında, çenelerin çeşitli vidalı apareylerle genişletilmesi mümkündür. Sıklıkla üst çeneye 8,5-15 yaş aralığında uygulanan bir tedavi şeklidir. Erişkin bireylerde ise ancak cerrahi madahale ile birlikte çene genişletmesi yapmak mümkün olmaktadır.

Headgear, ense yada kafanın üst kısmına yerleştirilen, bant ve metal bir telle dişlere bağlanan bir aygıttır. Headgear üst çenenin gelişimini yavaşlatmak, arka dişlerin öne gelmesini engellemek yada geriye doğru itmek gibi çeşitli amaçlarla kullanılır. Genellikle büyümesi devam eden hastalarda, üst çene gelişim fazlalığı olan durumlarda kullanılmaktadır. Dişleriniz, headgear’i taktığınız ilk günlerde hassas, hatta sallanıyor olabilir. Bu hassasiyet normaldir ve siz tedaviye alıştığınızda ortadan kaybolur.


Çenelik, alt çene gelişim fazlalığı görüldüğü durumlarda, daha sıklıkla fonksiyonel olarak alt çenenin öne kaydırıldığı vakalarda kullanılan, kısıtlı olarak alt çenenin büyüme gelişmesinin frenlenmesi amaçlanan ağız dışı apareydir.


Üst çene gelişim yetmezliğine bağlı iskeletsel sınıf 3 vakalarda kullanılan aparey türleridir. Özellikle erken yaşlarda (8,5-9) kullanıldığında; üst çene gelişim yetmezliği gösteren durumlarda üst çenenin öne doğru gelişiminin hızlandırılmasında etkin rol oynamaktadırlar.

Mini vidalar, direkt dişeti üzerinden kemik içerisine yerleştirilen ankraj üniteleridir. Kemik dokudan destek alınarak istenmeyen diş hareketlerinin engellenmesi ve istenilen diş hareketlerinin ise daha etkili yapılabilmesine yardımcı olmaktadırlar. Uygulanışı basit olup lokal anestezi ile yapılabilmektedir. Tedavi sonunda anesteziye bile ihtiyaç duymadan kolayca çıkartılabilmektedirler.

Tedavi sona erdikten sonra dişlerin yerini korumak ve eski haline dönmesini engellemek için kullanılan apareylere, pekiştirme apareyleri denir. Ön dişlerin arkasından ince bir telin kompozitle yapıştırılmasıyla oluşan sabit şekilleri olduğu gibi hasta tarafından çıkartılıp takılabilen hareketli olanları da vardır. Eğer braketleriniz çıktıktan sonra retansiyon apareylerini takmazsanız, dişleriniz eski pozisyonlarına doğru hareket edebilir ve tedavi ile sağlanan değişiklikler kaybolabilir. Her vakanın durumu farklıdır. Bazı durumlarda, ömür boyu retansiyon gerekebilir. Retansiyon apareylerinizi ne kadar süre kullanacağınızı doktorunuz size bildirecektir.